|





| |
MIKROSKOPISCH-ANATOMISCHER
KURS FÜR HUMAN- UND ZAHNMEDIZINER
11. KURSTAG
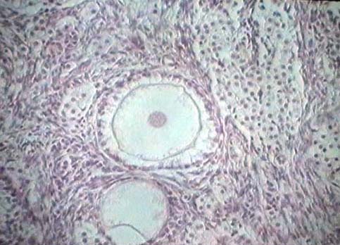
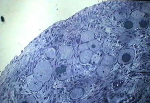
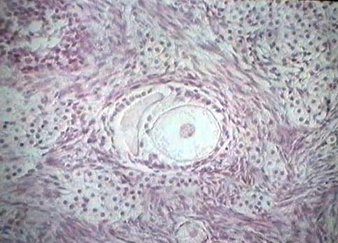
Niere und ableitende
Harnwege
Weiblicher Genitaltrakt
1.
Hälfte: 1. Tag - 2.
Tag - 3. Tag - 4.
Tag - 5. Tag - 6.
Tag - 7. Tag 2.
Hälfte: 8. Tag - 9.
Tag - 10. Tag - 11.
Tag - 12. Tag - 13.
Tag - 14. Tag
Zurück zur Hauptauswahl
|